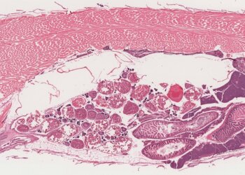
A importância do uso de biomarcadores histológicos em estudos de contaminação ambiental Thayzi Zeni (30/06/2014) A histologia é uma ferramenta...
Read moreDetailsCrustáceos parasitos Diego Junqueira Stevanato (28/06/2014) Mestrando do Programa de Pós-Graduação em Zootecnia-UFPR. Popularmente conhecidos como “piolho de...
Read moreDetailsDa genética ao Sabor Diego Junqueira Stevanato (29/06/2014) Mestrando do Programa de Pós-Graduação em Zootecnia-UFPR. A aquicultura no Brasil...
Read moreDetailsBiomarcadores de contaminação ambiental: um enfoque na avaliação histológica para o diagnóstico...
Read moreDetailsO projeto prevê a criação e operação de um portal virtual, o Centro de Análise e Informação Estratégica da Aquicultura...
Read moreDetailsMedidas de mitigação dos impactos ambientais causados pela atividade extrativista de peixes ornamentais marinhos Ana Silvia Pedrazzani (18/06/2004) ...
Read moreDetailsUtilização de sonar na estimativa da população de ostras em seu ambiente natural Gisela Geraldine Castilho-Westphall (10/05/2014) O Sonar...
Read moreDetailsO uso de anestésicos no manejo de peixes André Luiz Vicente (29/04/14) Procedimentos de rotina em produção e...
Read moreDetailsFigura 1: Placa de restaurante vinculado ao projeto Cultimar e ostras prontas para o consumo. O consumo de...
Read moreDetailsMesmo alguém sem nenhum conhecimento de economia sabe, intuitivamente, que tudo aquilo que existe em excesso tem pequeno ou nenhum...
Read moreDetails
Manual de Boas Práticas: Qualidade e Segurança para Bons Negócios (livro digital - PDF)
R$0,00
Camarões Marinhos - Engorda: Roberto Carlos Barbieri Jr. & Antonio Ostrensky (Livro Impresso)
R$55,00
Água no setor industrial da região do Alto Iguaçu e dos afluentes do Alto Ribeira... (Versão Digital - PDF)
R$0,00
Aquicultura no Brasil: o desafio é crescer (Livro Digital -PDF)
R$0,00
As lendas na educação - Estórias do Baixo Sul e do Recôncavo Baiano (livro digital - PDF)
R$0,00
Água na indústria: uma análise da visão do setor industrial... (Versão Digital - PDF)
R$0,00
Cartilha de Rastreabilidade: Ostras cultivadas - Projeto AquiNordeste (Livro Digital - PDF).
As lendas na educação caiçara (livro digital - PDF)
R$0,00
A produção integrada na carcinicultura brasileira (Volume 1) - (Livro Digital - PDF)
R$0,00
FAO: Agricultura Irrigada Sustentável no Brasil - Identificação de Áreas... (Livro Digital - PDF)
R$0,00
O GIA é um grupo de pesquisas científicas, tecnológicas e de inovação criado e sediado na Universidade Federal do Paraná. Sua principal missão é assumir um papel direto na interação entre setor acadêmico, a iniciativa privada e a sociedade civil em geral, transpondo os muros universitários, aplicando com excelência e eficiência, métodos técnico-científicos de produção de alimentos e na resolução de problemas ambientais, sociais e econômicos que dizem respeito aos mais diferentes setores da sociedade brasileira.
No dia 09 de fevereiro de 2021 foi finalmente assinado o Termo de Compartilhamento estabelecido entre a UFPR, através de...
O GIA acaba de lançar mais um livro. O tema da vez é o cultivo de peixes orgânicos Cada vez...
Copyright © Grupo Integrado de Aquicultura e Estudos Ambientais (GIA) | Desenvolvido por Abrigo Virtual
Copyright © Grupo Integrado de Aquicultura e Estudos Ambientais (GIA) | Desenvolvido por Abrigo Virtual